65 year old female with acute CVA

This is an online e log book to discuss our patient de-identified health data shared after taking his / her / guardians signed informed consent. Here we discuss our individual patients problems through series of inputs from available global online community of experts with an aim to solve those patients clinical problem with collective current best evident based input.


This E blog also reflects my patient centered online learning portfolio and your valuable inputs on the comment box is welcome.


I have been given this case to solve in an attempt to understand the topic of " patient clinical data analysis" to develop my competency in reading and comprehending clinical data including history, clinical findings, investigations and come up with diagnosis and treatment plan.


Patient and his/her attenders have been informed and their consent has been taken.

65 yr old female was brought to the casualty with  complaints of 

Difficulty in moving upper limbs and lower limbs since 3 days

Inability to speak since 3 days

Fever since 3 days

HOPI

Patient was apparently alright 2 years back when she was diagnosed with hypertension and is on medication since then 

6 days back she developed weakness in left upper and lower limbs which was sudden in onset , gradually progressed and is completely unable to move since 3 days

She also has fever since 3 days 

No H/O Head Trauma (for haemorrhagic stroke) 

No H/O Epilepsy

No H/O projectile vomiting, headache or blurring of vision

No H/O recent surgeries (for embolic stroke)

 Past History: -

No H/O similar complaints in the past

She is a hypertensive and is on medication since 2 years

 -No H/O DM, TB, Hypo/Hyperthyroidism/ Epilepsy/ Asthma/COPD/ CAD/ Blood transfusions/ Connective tissue disorders (stroke in young)

 -No H/O Major hospitalizations

 -No H/O major surgeries


PERSONAL HISTORY

➤Occupation: Homemaker 

➤Patient is married .

➤Patient takes mixed diet and has a decreased appetite.

➤Bowel and bladder movements are normal 

➤No known allergies .

➤No addictions 


 General examination

Pt is drowsy, non responsive 

BP 150/80 mmHg

PR 85bpm

TEMPERATURE 102 degree F

Grbs 86 mg/dl

Pallor+

No icterus, cyanosis, clubbing,lymphadenopathy, pedal edema

    Systemic Examination:

 CVS‐ S1 S2 heard, no murmurs

RS‐ Normal vesicular breath sounds hears

P/A - No tenderness, no palpable mass


CNS 


HIGHER MENTAL FUNCTIONS:

DROWSY, NON RESPONSIVE

MMSE couldn't be assessed 

speech : nil

Behavior : couldn't be assessed 

Memory : couldn't be assessed 

Intelligence : couldn't be assessed 

Lobar Functions : couldn't be assessed 

CRANIAL NERVE EXAMINATION:

3rd,4th,6th : pupillary reflexes present.

 No  Nystagmus 

MOTOR EXAMINATION: Right                  Left


                                         UL LL                      UL LL


   BULK                            N N                          N N


   TONE                        hyper hyper               N N


   POWER                        couldn't be assessed         

   SUPERFICIAL REFLEXES:

   CORNEAL.                          present   present      

   CONJUNCTIVAL                 present present

 

   PLANTAR                        flexor           mute


   DEEP TENDON REFLEXES:

   BICEPS                              2+.                 1+

   TRICEPS                           2+.                   1+

 SUPINATOR.                       2+.                    1+

   KNEE                                 2+.                     1+

  ANKLE                               2+.                     1+

SENSORY EXAMINATION:  

couldn't be assessed 

CEREBELLAR EXAMINATION

couldn't be assessed 

SIGNS OF MENINGEAL IRRITATION: absent

GAIT couldn't be assessed

Cerebellar functions 

Couldn't be assessed


Provisional diagnosis

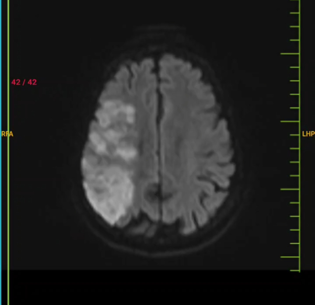
Rt CVA with left hemiplegia with global aphasia


Investigations

 

RBS - 86 mg/dl

Chest x ray



DIAGNOSIS

Right sided CerebroVascular Accident with left sided Hemiplegia with involvement of area supplied by middle cerebral artery due to embolism .

Plan of management

1) Ryle 's tube 

2) IV FLUIDS

3) Tab ECOSPRIN 150 MG RT STAT

F/B TAB ECOSPRIN 75 mg RT OD

4)Tab ROSUVASTATIN 40 MG RT STAT

F/B TAB ROSUVASTATIN 20 MG RT OD

5) TAB CLOPIDOGREL 150 Mg RT STAT

F/B TAB CLOPIDOGREL 75 mg RT OD


Comments

Popular posts from this blog

Status epilepticus in a female with autoimmune diseases.

MY JOURNEY IN THE MEDICINE WARDS

33 year old female with weakness of left upper limb